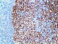
bcl-6 is a transcriptional regulator gene which codes for a 706-amino-acid nuclear zinc finger protein. Antibodies to this protein stain the germinal center cells in lymphoid follicles, follicular cells and interfollicular cells in Follicular Lymphoma, Diffuse Large B-Cell Lymphomas, Burkitt’s Lymphoma, and the majority of the Reed-Sternberg cells in Nodular Lymphocyte-Predominant Hodgkin’s Disease.
The bcl-6 antibody is also useful in identifying neoplastic cells in cases of nodular Lymphocyte-Predominant Hodgkin’s Disease. In contrast, bcl-6 rarely stains Mantle-Cell Lymphoma and MALT Lymphoma. bcl-6 expression is seen in approximately 45% of CD30+ Anaplastic Large-Cell Lymphomas but is consistently absent in other peripheral T-cell Lymphomas.
Presentation
Bcl-6 antibody is a rabbit monoclonal antibody derived from cell culture supernatant that is concentrated, dialyzed, filter sterilized and diluted in buffer pH 7.5, containing BSA and sodium azide as a preservative.
Synonyms: Bcl 6, Bcl6, anti-bcl6, anti-bcl-6, anti-bcl 6, sc7388, sc-7388, 7388, anti-Bcl-6, anti Bcl-6, anti-Bcl 6, anti-Bcl6, anti Bcl 6, anti Bcl6, BCL6 transcription repressor, anti-BCL6 transcription repressor, anti BCL6 transcription repressor, B cell CLL lymphoma 6, B cell lymphoma 6 protein, B cell lymphoma 6 protein transcript, BCL 5, BCL5, BCL6A, cys his2 zinc finger transcription factor, LAZ3, lymphoma associated zinc finger gene on chromosome 3, ZBTB27, Zinc finger and BTB domain containing protein 27, zinc finger protein 51, zinc finger transcription factor BCL6S, ZNF51, B cell lymphoma 5 protein, Protein LAZ 3