Intended Use
For In Vitro Diagnostic Use
Summary and Explanation
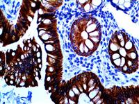
Receptor tyrosine-protein kinase erbB-3, also known as HER-3 (Human Epidermal Growth Factor Receptor 3), is a membrane bound protein that in humans is encoded by the ERBB3 gene. HER-3 has been shown to bind the ligands heregulin and NRG-2. Ligand binding causes a change in conformation that allows for dimerization, phosphorylation, and activation of signal transduction. HER-3 can heterodimerize with any of the other three ErbB family members.
During human development, HER-3 antibody is expressed in skin, bone, muscle, nervous system, heart, lungs, and intestinal epithelium and is expressed in normal adult human gastrointestinal tract, reproductive system, skin, nervous system, urinary tract, and endocrine system. HER-3 is overexpressed in a variety of tumors including breast, stomach, pancreas, and colon. While no evidence has been found that HER-3 overexpression, constitutive activation, or mutation alone is oncogenic, the protein as a heterodimerization partner, most critically with HER-2, is implicated in growth, proliferation, resistance, and the promotion of invasion and metastasis.
Presentation
HER-3 antibody is a rabbit monoclonal antibody derived from cell culture supernatant thatis concentrated, dialyzed, filter sterilized and diluted in buffer pH 7.5, containing BSA and sodium azide as a preservative.
Synonyms: ErbB 3, ErbB3, HER3, anti erb-b2 receptor tyrosine kinase 3, anti ErbB 3, anti ErbB-3, anti ErbB3, anti HER3, anti-erb-b2 receptor tyrosine kinase 3, anti-ErbB 3, anti-ErbB-3, anti-ErbB3, anti-HER3, erb-b2 receptor tyrosine kinase 3, c erbB 3, c erbB3, erbB3 S, LCCS2, MDA BF 1, MGC88033, p180 ErbB3, p45 sErbB3, p85 sErbB3, Receptor tyrosine protein kinase erbB 3, Tyrosine kinase type cell surface receptor HER3, v erb b2 erythroblastic leukemia viral oncogene homolog 3 avian, Proto oncogene like protein c ErbB 3