Intended Use
Analyte Specific Reagent
Summary and Explanation
Papillomaviruses are a diverse group of DNA-based viruses. More than 100 different human papillomavirus (HPV) types have been characterized. Some HPV types cause benign skin warts, or papillomas, for which the virus family is named.
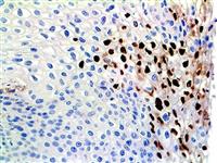
HPV antibody (anti-human papillomavirus), clone BSB-66 (SB24) reacts with an epitope of a major capsid protein of HPV, which is broadly expressed among different HPV subtypes. This antibody has been found to detect by IHC on FFPE HPV-infected tissues which are known by PCR to be infected with HPV types 1, 6, 11, 16, 18, 31,33, 35, 39, 40, 42, 45, 51, 52, 56, 58, 59, 67 and 68.
Presentation
HPV antibody (human papillomavirus antibody) is a mouse monoclonal antibody derived from cell culture supernatant that is concentrated, dialyzed, filter sterilized and diluted in buffer pH 7.5, containing BSA and sodium azide as a preservative.
Synonyms: anti-HPV, anti HPV, HPV protein, anti-HPV protein, anti HPV, human papillomavirus type 16 transforming protein, HPV16 E6, human papillomavirus type 18 transforming protein E6, HPV18 E6, alpha papillomavirus 7 (HPV18) E6 protein, alpha papillomavirus 9 (HPV16) E6 protein, HpV16gp1 (E6), HpV18gp1 (E8), anti-human papillomavirus type 16 transforming protein E6, anti human papillomavirus type 16 transforming protein E6, anti-HPV16 E6, anti HPV16 E6, anti-human papillomavirus type 18 transforming protein E6, anti human papillomavirus type 18 transforming protein E6, anti-HPV18 E6, anti HPV18 E6, anti-alpha papillomavirus 7 (HPV18) E6 protein, anti alpha papillomavirus 7 (HPV18) E6 protein, anti-alpha papillomavirus 9 (HPV16) E6 protein, anti alpha papillomavirus 9 (HPV16) E6 protein, anti-HpV16gp1 (E6), anti HpV16gp1 (E6), anti-HpV18gp1 (E8), anti HpV18gp1 (E8), Major capsid protein L1, human papillomaviruses, Protein E6, E6, cervical cancer E6, HPV16, human papilloma virus, anti-hpv, anti hpv