Intended Use
For In Vitro Diagnostic Use
Summary and Explanation
Heat shock protein 27 (HSP-27) also known as heat shock protein beta-1 (HSPB1) is a protein that in humans is encoded by the HSPB1 gene. The common functions of sHsps are chaperone activity, thermotolerance, inhibition of apoptosis, regulation of cell development, and cell differentiation. They also take part in signal transduction. HSP-27 appears in many cell types, especially all types of muscle cells. It is located mainly in the cytosol, but also in the perinuclear region, endoplasmatic reticulum, and nucleus. It is overexpressed during different stages of cell differentiation and development. This suggests an essential role for HSP-27 in the differentiation of tissues.
An affinity of high expression levels of different phosphorylated HSP-27 species and muscle/neurodegenerative diseases and various cancers has been observed. High levels of HSP-27 were also found in sera of breast cancer patients; therefore HSP27 could be a potential diagnostic marker. Phosphorylated Hsp-27 has been shown to increase in human prostate cancer (PCa) cell invasion, enhancing cell proliferation, and suppression of Fas-induced apoptosis in human PCa cells.
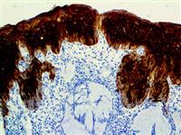
HSP-27 antibody immunohistochemistry is a useful tool for the identification of CIN and cervical squamous cell carcinoma, and is a good complement to p16. HSP-27 has been demonstrated to be overexpressed in cervical intraepithelial neoplasia (CIN) and squamous cell carcinoma of the cervix using immunohistochemistry. HSP27 expression has been demonstrated in 47% of CIN1, 75% of CIN2, 92% of CIN3, and 100% of cervical squamous cell carcinomas (SCC); whereas parallel comparison study for p16 IHC detection demonstrated p16 expression in 47% of CIN1, 67% of CIN2, 92% of CIN3 and 75% of cervical squamous cell carcinoma. Positive staining for both HSP27 and p16 was observed in 6% of normal cervical tissues and in 19% of CIN1, 18% of CIN2, 85% of CIN3, and 75% of SCC specimens. When both anti-HSP27 and anti-p16 were assessed using IHC, both the sensitivity and specificity were improved.
Presentation
HSP-27 antibody is a rabbit monoclonal antibody derived from cell culture supernatant that is concentrated, dialyzed, filter sterilized and diluted in buffer pH 7.5, containing BSA and sodium azide as a preservative.
Synonyms: 28 kDa heat shock protein, CMT2F, DKFZp586P1322, estrogen regulated 24 kDa protein, Heat shock 27 kDa protein, heat shock 27kD protein 1, heat shock 27kDa protein 1, heat shock protein beta 1, HMN2B, HS 76067, HSP 27, Hsp25, HSP27, HSP28, HSPB1, SRP27, Stress responsive protein 27, hsp27, anti-hsp-27, anti-hsp27, anti hsp-27, anti hsp27, anti-hsp 27, anti hsp 27