Intended Use
For In Vitro Diagnostic Use
Summary and Explanation
CD278 is also known as inducible T-cell costimulatory molecule (ICOS). CD278 is homologous to the CD28/CTLA-4 proteins and is expressed on activated T cells and unstimulated thymocytes. CD278 plays a major role in regulation of cell-cell signaling, adaptive immune response, and cell proliferation. Interaction of CD278 and its ligand ICOS-L results in increased production of interleukins, which promote differentiation of Tfh and Tregs and development of Th1, Th2, and Th17 cells.
CD278 / ICOS-L interaction has been shown to promote either antitumor T cell response or pro-tumor responses when triggered in Tregs (such as in Multiple Myeloma, Acute Myeloid Leukemia, and some invasive Breast Carcinomas). Therefore, both agonistic and antagonistic monoclonal antibodies targeting this pathway can be potential cancer immunotherapy.
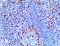
ICOS antibody is primarily expressed on activated CD4+ and CD8+ T cells where it regulates immune responses and plays a role in the regulation of T Follicular helper cells. ICOS antibody is a sensitive marker for identifying T cell Lymphomas of Follicular Helper T cell origin, especially certain patterns of Angioimmunoblastic T-cell lymphoma (AITL) and Peripheral T-cell lymphomas with T-follicular Helper Phenotype (PTCL-TFH). This is becoming increasingly important given WHO 2016 diagnostic guidelines. Immunohistochemical analysis revealed that ICOS is widely expressed by malignant cells in skin biopsy specimens from patients with Mycosis Fungoides and Sézary syndrome (SS), as well as involved in node biopsy specimens from patients with SS.
Presentation
ICOS antibody is a rabbit monoclonal antibody derived from cell culture supernatant that is concentrated, dialyzed, filter sterilized and diluted in buffer pH 7.5, containing BSA and sodium azide as a preservative.
Synonyms: icos, into-icos, cd278. anti-cd278, t-cell costimulatory molecule