Intended Use
For In Vitro Diagnostic Use
Summary and Explanation
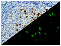
IgG4-related sclerosing disease has been recognized as a systemic disease entity characterized by an elevated serum IgG4 level, sclerosing fibrosis and diffuse lymphoplasmacytic infiltration with the presence of many IgG4 antibody positive plasma cells. As these patients tend to respond favorably to steroid treatment, it is important to recognize this entity and differentiate it from such mimics as lymphoma.
Clinical manifestations are apparent in the pancreas, bile duct, gallbladder, lacrimal gland, salivary gland, retroperitoneum, kidney, lung, breast, thyroid, and prostate. Immunohistochemical analyses in the case of IgG4 antibody related sclerosing disease not only exhibits significantly more IgG4- positive plasma cells in affected tissues but also significantly higher IgG4/ IgG ratios (typically 30%).
Presentation
IgG4 antibody is a rabbit monoclonal antibody derived from cell culture supernatant that is concentrated, dialyzed, filter sterilized and diluted in buffer pH 7.5, containing BSA and sodium azide as a preservative.
Synonyms: IGHG4, Ig gamma 4 chain C region, immunoglobulin heavy constant gamma 4 G4m marker, anti-igg4, anti igg4