Intended Use
For In Vitro Diagnostic Use
Summary and Explanation
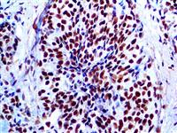
The INI-1 gene, which encodes a functionally uncharacterized protein component of the hSWI/ SNF chromatin remodeling complex, is often mutated or deleted in malignant rhabdoid tumor (MRT). Two isoforms of INI-1, that differ by the variable inclusion of amino acids, potentially are produced by differential RNA splicing.
The morphology of MRTs can present challenges in differential diagnosis. The overall survival of MRTs relative to its potential mimics (medulloblastoma, supratenorial primitive neuroectodermal tumors (sPNETs)) is quite low, and thus differentiation from these other tumors is desirable. Lack of nuclear labeling by INI-1 antibody is characteristic of MRT. The majority of medulloblastomas and sPNETs are labeled by INI-1 antibody. MRTs also originate from the kidney and soft tissues.
Presentation
INI-1 antibody is a mouse monoclonal antibody derived from cell culture supernatant that is concentrated, dialyzed, filter sterilized and diluted in buffer pH 7.5, containing BSA and sodium azide as a preservative.
Synonyms: SMARCB1, BAF47, hSNF5, hSNFS, INI1, Integrase interactor 1 protein, malignant rhabdoid tumor suppressor, RDT, Sfh1p, SNF5, SNF5L1, Snr1, sucrose nonfermenting yeast homolog like 1, BRG1 associated factor 47, SNF5 homolog, RTPS1, MRD15, anti-ini1, anti ini1, ini-1, ini1, anti-ini 1, anti-ini-1