Intended Use
For In Vitro Diagnostic Use
Summary and Explanation
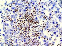
LEF-1 is a new rabbit monoclonal antibody for immunohistochemistry from Bio SB. Lymphoid enhancer-binding factor 1 (LEF1) is a protein that in humans is encoded by the LEF-1 gene with a 48-kD nuclear protein that is expressed in pre-B and T cells. LEF-1 coupling with β-catenin, functions as a key nuclear mediator of WNT/β-catenin signaling, which regulates cell proliferation and survival. LEF-1 has an important role in lymphopoiesis, and is normally expressed in T and pro-B cells but not mature B cells. LEF-1-mediated canonical Wnt signaling is required for morphogenesis of these skin appendages during embryogenesis. In normal lymphoid tissues, LEF-1 is nuclear localized and observed predominantly in T cells of the paracortical regions; staining was undetected in B cells.
LEF-1 is highly overexpressed and associated with disease progression and poor prognosis in B-cell chronic lymphocytic leukemia. Strong nuclear expression of LEF-1 has been observed in majority of chronic lymphocytic leukemia/small lymphocytic lymphoma cases and LEF-1 is not detected in other small B cell lymphomas. Gene expression profiling revealed overexpression of LEF-1 in chronic lymphocytic leukemia (CLL)/small lymphocytic lymphoma (SLL). LEF-1 immunostaining has been detected in all neoplastic cells of CLL/SLL cases. LEF-1 was identified in 50% of high grade follicular lymphoma and 38% of diffuse large B-cell lymphoma, but not in mantle cell lymphoma or marginal zone lymphoma. Recently, high LEF-1 was demonstrated as a favorable prognostic marker in cytogenetically normal acute myeloid leukemia. Due to its high sensitivity, LEF-1 has been proposed to be a suitable immunohistochemical marker for diagnosis and differential diagnosis for CLL/SLL.
Alternately spliced isoforms may play additional roles in regulating cell growth in colon carcinoma, and nuclear LEF-1 immunostaining was detected in 36% of adenocarcinoma brain metastases.
Presentation
LEF-1 antibody is a rabbit monoclonal antibody derived from cell culture supernatant that is concentrated, dialyzed, filter sterilized and diluted in buffer pH 7.5, containing BSA and sodium azide as a preservative.
Synonyms: LEF-1, LEF 1, LEF1, anti-lef1, anti lef1, anti-lef-1, anti lef-1, lymphoid enhancer binding factor 1, T cell specific transcription factor 1 alpha, TCF1 alpha, TCF1ALPHA, FLJ46390, TCF10, TCF7L3