Lysozyme (EP134), RMab
Price:
$214.00
SKU:
BSB 6856
Antibody type:
Rabbit Monoclonal
Clone:
EP134
Isotype:
IgG
Concentrate Dilution:
1:100-1:500
Localization:
Cytoplasmic
Tissue Control:
Tonsil, Lymph Node, Liver, Kidney
Species Reactivity:
Human, Predicted: Mouse
Sharing Discount has been applied
Description
Intended Use
For In Vitro Diagnostic Use
Summary and Explanation
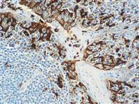
Lysozyme is a 14.4 kDa enzyme, commonly referred to as the “body’s own antibiotic” since it kills bacteria. Lysozyme is an enzyme that destroys bacterial cell walls by hydrolyzing the polysaccharide component of the cell wall. It is abundantly present in a number of secretions, including tears. This protein is present in cytoplasmic granules of the polymorphonuclear neutrophils (PMN) and released through mucosal secretions such as tears and saliva. They can also be found in high concentration in egg white.
Lysozyme antibody stains myeloid cells, histiocytes, granulocytes, macrophages, and monocytes in human tonsil, colon and skin. It is an important marker that may demonstrate the myeloid or monocytic nature of Acute Leukemia. The restrictive nature of Lysozyme antibody staining suggests that Lysozyme may be synthesized predominantly in reactive histiocytes rather than in resting, unstimulated phagocytes. It has not been determined whether Lysozyme stains any other cell or tissue type. Lysozyme may aid in the identification of histiocytic neoplasias and large lymphocytes, as well as classifying lymphoproliferative disorders.
Presentation
Lysozyme antibody is a rabbit monoclonal antibody derived from cell culture supernatant that is concentrated, dialyzed, filter sterilized and diluted in buffer pH 7.5, containing BSA and sodium azide as a preservative.
Synonyms: 1 4 beta N acetylmuramidase C, lysozyme, lysozyme C, LYZ, Lzm, AI326280, Lys, lysozyme 1, lysozyme 2, lysozyme C type M, Lysozyme C type P, Lysozyme C 1, Lysozyme C 2, Lyz1, Lyz2, Lyzs, Lzm s1, Lzp, Lzp s, P lysozyme structural, renal amyloidosis, Lysm, anti-lysozyme, anti lysozyme
Documentation
Specification Sheets
Safety Data Sheets
Ask a Question
There are currently no questions about this
product.
Product Details
| Option | SKU | Price |
| Presentation: 3 ml Predilute | BSB 6856 | $214.00 |
| Presentation: 7 ml Predilute | BSB 6857 | $388.00 |
| Presentation: 15 ml Predilute | BSB 6858 | $700.00 |
| Presentation: .1 ml Concentrate | BSB 6859 | $238.00 |
| Presentation: .5 ml Concentrate | BSB 6860 | $524.00 |
| Presentation: 1 ml Concentrate | BSB 6861 | $799.00 |
| Presentation: Control Slides [5] | BSB-9263-CS | $101.00 |