Intended Use
For In Vitro Diagnostic Use
Summary and Explanation
MDM2 is a new mouse monoclonal antibody for immunohistochemistry from Bio SB. MDM2 is a new antibody for immunohistochemistry from Bio SB. MDM2 is a protein that in humans is encoded by the MDM2 gene. MDM2 is an important negative regulator of the p53 tumor suppressor. The MDM2 protein functions both as an E3 ubiquitin ligase that recognizes the N-terminal trans-activation domain (TAD) of the p53 tumor suppressor and an inhibitor of p53 transcriptional activation. The human homologue of this protein is sometimes called HDM2. Further supporting the role of MDM2 as an oncogene, several human tumor types have been shown to have increased levels of MDM2, including soft tissue sarcomas and osteosarcomas as well as breast tumors.
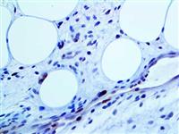
Well Differentiated Liposarcomas (WDLPS), Atypical Lipomatous Tumor/Well-Differentiated Liposarcoma (ALT-WDLPS) and Dedifferentiated Liposarcoma (DDLPS) may be difficult to distinguish from benign Adipose Tumors and from Poorly Differentiated Sarcomas, respectively. Genetically, they are characterized by amplification of MDM2 and CDK4 genes on chromosome 12q13-15. MDM2 and CDK4 protein overexpression have also been identified in these tumors. Detection of MDM2/CDK4 protein overexpression by IHC can be used to diagnose WDLPS and DDLPS. Considering a strong and diffuse immunostaining pattern in most of the neoplastic cells achieves the best results in identifying these tumors. Low-grade Osteosarcoma is a rare malignancy that may be subdivided into two main subgroups on the basis of location in relation to the bone cortex, that is, Parosteal Osteosarcoma and Low-grade Central Osteosarcoma. Their histological appearance is quite similar and characterized by spindle cell stroma with low-to-moderate cellularity and well-differentiated anastomosing bone trabeculae. Immunohistochemical expression of MDM2 and CDK4 is specific and provides sensitive markers for the diagnosis of Low-grade Osteosarcomas, helping to differentiate them from benign fibrous and fibro-osseous lesions, particularly in cases with atypical radio-clinical presentation and/or limited biopsy samples.
Presentation
MDM2 antibody is a mouse monoclonal antibody derived from cell culture supernatant that is concentrated, dialyzed, filter sterilized and diluted in buffer pH 7.5, containing BSA and sodium azide as a preservative.
Synonyms: hdm2, HDMX, anti-MDM2, anti MDM2, anti HDM2, anti HdmX, anti-HDM2, anti-HdmX, MDM2, anti-MDM2, anti MDM2, anti HDM2, anti HdmX, anti-HDM2, anti-HdmX, Double minute 2 protein, E3 ubiquitin protein ligase Mdm2, MGC5370, MGC71221, Oncoprotein Mdm2, MDM2 variant FB28, ACTFS, MDM2 variant FB30