Intended Use
For In Vitro Diagnostic Use
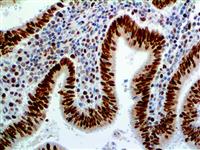
Summary and Explanation
MSH6 is a rabbit monoclonal antibody (RMab) for immunohistochemistry from Bio SB. MSH6, also known as mutS homolog 6, is a gene commonly associated with Hereditary Non-Polyposis Colorectal Cancer (HNPCC). HNPCC is an autosomal, dominantly inherited disease associated with marked increase in cancer susceptibility. It is characterized by a familial predisposition to early onset Colorectal Carcinoma and extra-colonic cancers of the gastrointestinal, urological and female reproductive tracts. HNPCC is reported to be the most common form of inherited Colorectal Cancer in the western world. MSH6 is a mismatch repair gene which is deficient in a high proportion of patients with microsatellite instability (MSI-H).
The anti-MSH6 antibody is useful in screening patients and families for HNPCC. Colon cancers that are microsatellite-unstable have a better prognosis than their microsatellite-stable counterparts.
Presentation
MSH6 antibody is a rabbit monoclonal antibody derived from cell culture supernatant that is concentrated, dialyzed, filter sterilized and diluted in buffer pH 7.5, containing BSA and sodium azide as a preservative.
Synonyms: msh-6, anti msh6, anti-msh6, anti msh-6, gtbp, anti-gdbp, SH6, DNA mismatch repair protein Msh6, G T mismatch binding protein, GTBP, GTMBP, HNPCC5, HSAP, mutS homolog 6 E coli, MutS alpha 160 kDa subunit, p160, sperm associated protein, hMSH6