Intended Use
For In Vitro Diagnostic Use
Summary and Explanation
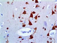
NeuN (Feminizing Locus on X-3, Fox-3, or Hexaribonucleotide Binding Protein-3) is a neuron-specific protein that is present in most Central Nervous System (CNS) and Peripheral Nervous System (PNS) neuronal cell types. NeuN protein distributions are restricted to neuronal nuclei, perikarya and some proximal neuronal processes in both fetal and adult brain. However, some neurons fail to be recognized by NeuN at all ages, such as INL retinal cells, Cajal-Retzius cells, Purkinje cells, inferior olivary and dentate nucleus neurons, and sympathetic ganglion cells.
NeuN antibody is widely used to label neurons since the vast majority of neurons are strongly positive. NeuN immunoreactivity becomes obvious as neurons mature, typically after they have downregulated expression of Doublecortin, a marker seen in the earliest stages of neuronal development.
Presentation
Neun antibody is a mouse monoclonal antibody derived from cell culture supernatant that is concentrated, dialyzed, filter sterilized and diluted in buffer pH 7.5, containing BSA and sodium azide as a preservative.
Synonyms: c erb B2 neu protein, CD340, ERBB2, HER 2, HER 2 neu, HER2, herstatin, MLN 19, NEU, neuroblastoma glioblastoma derived oncogene homolog, NGL, p185erbB2, Receptor tyrosine protein kinase erbB 2, TKR1, tyrosine kinase type cell surface receptor HER2, v erb b2 avian erythroblastic leukemia viral oncogene homolog 2 neuro glioblastoma derived oncogene homolog, v erb b2 erythroblastic leukemia viral oncogene homolog 2 neuro glioblastoma derived oncogene homolog avian, Metastatic lymph node gene 19 protein, Proto oncogene c ErbB 2, proto oncogene Neu, neun, anti-neun, neu-n, anti-neu-n, anti neu-n