Intended Use
For In Vitro Diagnostic Use
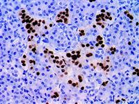
Summary and Explanation
Homeobox protein NKX2.2 is a protein encoded by the NKX2-2 gene. NKX2.2 is a homeodomain-containing transcription factor that plays a critical role in neuroendocrine/glial differentiation. NKX2.2 is expressed in the developing forebrain and spinal cord. Functionally, the transcription factor is thought to be involved with neuronal developing, patterning, and fate specification of neurons and oligodendrocytes.
NKX2.2 antibody was recently reported as a valuable marker for Ewing’s sarcoma. The vast majority of Ewing’s sarcomas (85%) harbor a chromosomal translocation, most commonly t(11;22)(q24;q12) encoding an aberrant EWS-FLI transcription factor. NKX2.2 expression is tightly correlated with EWS-FLI expression, a critical downstream target that is required for the cancerous behavior of Ewing’s sarcoma. While CD99 is the classical marker for Ewing’s sarcoma diagnosis, it is relatively nonspecific. In addition to Ewing’s sarcoma, CD99 is also expressed on lymphocytes, hematopoietic cells, endothelial cells and a variety of tumors. In contrast, NKX2.2 labels 93% of Ewing’s sarcoma and only a small subset (14/130) of non-Ewing tumors, demonstrating a sensitivity of 93% and specificity of 89%. Staining with NKX2.2 can aid in the differential diagnosis of small round cell tumors.
Presentation
NKX2.2 antibody is a rabbit monoclonal antibody derived from cell culture supernatant that is concentrated, dialyzed, filter sterilized and diluted in buffer pH 7.5, containing BSA and sodium azide as a preservative.
Synonyms: NKX2B, Nkx 2.2, Nkx2.2, NKX2-2, anti-Nkx-2.2, anti Nkx-2.2, anti-Nkx 2.2, anti-Nkx2.2, anti Nkx 2.2, anti Nkx2.2, Homeobox protein NK-2 homolog B, anti-NKX2B, anti NKX2B, anti-Homeobox protein NK-2 homolog B, anti Homeobox protein NK-2 homolog B, NK2 homeobox 2, NKX2 2