Intended Use
For In Vitro Diagnostic Use
Summary and Explanation
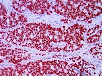
Homeobox protein NKX3.1, also known as BAPX2 and NKX3A is a protein that in humans is encoded by the NKX3.1 gene located on chromosome 8p. NKX3.1 is a prostatic tumor suppressor gene, which is an androgen-regulated, prostate-specific homeobox gene whose expression is predominantly localized in the prostate epithelium. It is a negative regulator of epithelial cell growth in prostate tissue. Loss of NKX3A protein expression is a common finding in human prostate carcinomas and prostatic intraepithelial neoplasia. NKX3-1 expression is seen in prostate epithelium, testis, ureter, and pulmonary bronchial mucous glands.
NKX3.1 antibody has been established as a marker for identifying metastatic tumors. In a study the sensitivity for identifying metastatic Prostatic Adenocarcinomas was 98.6% for NKX3.1, 94.2% for PSA and 98.6% for PSAP and specificity of 99.7% for NKX3.1. NKX3.1-positive prostate carcinoma cells exhibit nuclear staining. Additionally, most cases of Urothelial Carcinoma have been found to be negative for NKX3.1 and may be helpful to distinguish between high grade Prostate Adenocarcinoma and high grade Infiltrating Urothelial Carcinoma. NKX3.1 has also been found to be expressed in Invasive Ductal Carcinomas (IDC) and Invasive Lobular Carcinomas (ILC) of the breast. NKX3.1 expression is limited to ER, PR, and AR positive carcinomas and is more frequently expressed in ILC than IDC. NKX3.1 has a high specificity and sensitivity for prostate adenocarcinomas and can be used to help distinguish between Prostate Carcinoma and Urothelial Carcinomas.
Presentation
NKX3.1 antibody is a rabbit monoclonal antibody derived from cell culture supernatant that is concentrated, dialyzed, filter sterilized and diluted in buffer pH 7.5, containing BSA and sodium azide as a preservative.
Synonyms: NKX3A, sc393190, Nkx 3.1, Nkx3.1, NKX3-1, anti-Nkx-3.1, anti Nkx-3.1, anti-Nkx 3.1, anti-Nkx3.1, anti Nkx 3.1, anti Nkx3.1, Homeobox protein NK-3 homolog A, anti-NKX3A, anti NKX3A, anti-Homeobox protein NK-3 homolog A, anti Homeobox protein NK-3 homolog A, NK3 homeobox 1, BAPX2, NKX3, NKX3 1