Intended Use
For In Vitro Diagnostic Use
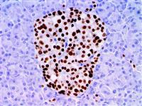
Summary and Explanation
Paired box protein PAX-6 also known as aniridia type II protein (AN2) is a protein that in humans is encoded by the PAX6 gene. PAX6 is a transcription factor present during embryonic development of sensory organs (including eye, nasal and olfactory tissues), central nervous and endocrine system. Within the brain, the protein is involved in development of the specialized cells that process smell. As a transcription factor, PAX6 activates and/or deactivates gene expression patterns to ensure for proper development tissues. Mutations of the PAX6 gene are known to cause various disorders of the eyes. Two common disorders associated with a mutation are: aniridia, the absence of the iris, and Peter’s anomaly, thinning and clouding of the cornea.
PAX-6 antibody labels neuroendocrine cells and derived tumor cells and is helpful in identification of neuroendocrine tumors. A recent study showed that PAX6 and PAX8 were positive in the majority of neuroendocrine tumors originated from pancreas, duodenum, and colon. Additionally, Neuroendocrine tumors of the lung (NELC), which account for 25% of all lung cancer cases, and transcription factors may drive dedifferentiation of these tumors. SOX4 (p = 0.0002), SOX11 (p < 0.0001) and PAX6 (p = 0.0002) have been found to be significant for tumor type and elevated PAX6 and SOX11 expression correlates with poor outcome in large cell neuroendocrine carcinomas and small cell lung cancer (p < 0.0001 and p = 0.0232, respectively) based on survival data of 34 patients (57%). Therefore, aggressiveness of NELC correlated with increasing expression of transcription factors.
Presentation
PAX-6 antibody is a rabbit monoclonal antibody derived from cell culture supernatant that is concentrated, dialyzed, filter sterilized and diluted in buffer pH 7.5, containing BSA and sodium azide as a preservative.
Synonyms: Pax 6, Pax6, anti-Pax-6, anti Pax-6, anti-Pax 6, anti-Pax6, anti Pax 6, anti Pax6, Oculorhombin, anti-Oculorhombin, anti Oculorhombin, paired box 6, AN, AN2, D11S812E, FVH1, MGDA, WAGR