Intended Use
For In Vitro Diagnostic Use
Summary and Explanation
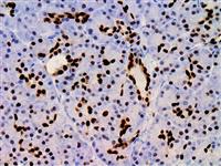
PDX1 (Pancreatic and duodenal homeobox 1), also known as insulin promoter factor 1, is a transcription factor necessary for pancreatic development, including β-cell maturation, and duodenal differentiation. PDX1 appears to also play a role in the fating of endocrine cells, encoding for insulin and somatostatin, two pancreatic endocrine products, while repressing glucagon. Thus, PDX1 expression apparently favors the production of insulin+ β-cells and somatostatin+Δ-cells rather than glucagon+ α-cells. In addition to roles in beta-cell differentiation, PDX1 is required for β-cell survival. Cells with reduced PDX1 expression have an increased rate of apoptotic programmed cell death. Mutations in the PDX1 gene may be involved in several pancreatic pathologies, including diabetes mellitus and pancreatic cancer.
Among normal pancreatic tissues, PDX1 antibody is expressed in islet cells, cells of the centroacinar cell compartment, ductal epithelium and is selectively expressed in adult Brunner’s glands of the duodenum and pyloric endocrine cells of the stomach. PDX1 antibody expression has been identified in Pancreatic Ductal Adenocarcinomas and endocrine neoplasms. No expression of PDX1 is seen in non-neoplastic acinar cells. Among pancreatic neoplasms, PDX1 consistently labeled >50% of the tumor cells. PDX1 expression is variable in invasive ductal adenocarcinoma and precursor lesions of ductal adenocarcinomas. Solid pseudopapillary neoplasms do not express PDX1. Besides increased expression of PDX1 in Pancreatic cancer, it also has also been reported in tumors of the colon and prostate, indicating that PDX1 may serve as a biomarker in patients with these malignancies.
Presentation
PDX1 antibody is a rabbit monoclonal antibody derived from cell culture supernatant that is concentrated, dialyzed, filter sterilized and diluted in buffer pH 7.5, containing BSA and sodium azide as a preservative.
Synonyms: PDX 1, PDX1, pancreatic and duodenal homeobox 1, GSF, IDX 1, IPF1, IUF1, MODY4, PAGEN1, STF 1, anti-pdx1, anti pdx1, pdx-1, pdx 1, anti-pdx1, anti-pdx-1, anti pdx-1