Intended Use
For In Vitro Diagnostic Use
Summary and Explanation
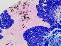
The PolyDetector HRP Blue Plus Substrate-Chromogen Kit is suitable for use with peroxidase detection systems, which allow the demonstration of cell antigens or nucleic acids in paraffin-embedded tissues, cryostat sections, cytosmears, and cell preparations. The substrate-chromogen isthe final step in the detection portion of IHC; it enables the antibody-antigen or nucleic acid complex to be viewed under a light microscope. This occurs because HRP Blue Plus acts as an electron donor in the presence of the enzyme horseradish peroxidase; HRP Blue Plus gets oxidized and produces a vibrant blue color at the site of the target antigen or nucleic acid. This substrate-chromogen is particularly useful in tissues where there is endogenous melanin or with multiplex IHC or CISH.
HRP Blue Plus is suitable for aqueous mounting such as AquaMounter (BSB 0090-BSB 0093). HRP Blue Plus is soluble in xylenes and therefore cannot be mounted with xylene protocol unless when using the Bio SB Fast ChromoProtector (BSB 0327-15 - BSB 0327-1000), then an organic Permanent Mounting medium such as PermaMounter (BSB 0097).
Presentation
The PolyDetector HRP Blue Plus Substrate-Chromogen Kit contains a liquid HRP Blue Plus Chromogen and an HRP Blue Plus Buffer Substrate containing a buffer, hydrogen peroxide as a substrate, and a non-azide anti-microbial.