Intended Use
For In Vitro Diagnostic Use
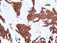
Summary and Explanation
Somatostatin Receptor 2 (SSTR2) is one of five subtypes of the somatostatin receptors, which belong to the superfamily of G protein-coupled receptors (GPCRs). Somatostatin receptor 2 is encoded by the SSTR2 gene, located on chromosome 17q25.1. SSTR2. SSTR2 becomes activated by the hormone somatostatin (SST), which is an inhibitor of hormone secretion and gastrointestinal function. SST and its receptor subtypes also prevent angiogenesis and have anti-proliferative effects on healthy and cancerous cells.
Somatostatin Receptors have been reported to be highly expressed in a wide variety of human tumors. High somatostatin receptor 2 antibody expression was found via IHC in neuroblastomas, medulloblastomas, paragangliomas, small cell lung cancers, meningiomas, and breast cancers. One study reported a highly specific and increased expression of somatostatin receptor 2 antibody in a large series of neural and neuroendocrine tumors. Another study investigating patients with gastroenteropancreatic neuroendocrine neoplasm (GEP-NEN) demonstrated the correlation between decreased immunohistochemical staining and advanced stage of tumors. Additionally, an improved survival of patients with high SSTR2 expression was found, indicating the usefulness of SSTR2 as a potential prognostic marker for GEP-NEN
Synonyms: somatostatin receptor 2, sstr2, anti-somatostatin receptor 2, anti-sstr2