Intended Use
For In Vitro Diagnostic Use
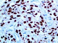
Summary and Explanation
SOX-10 is a mouse monoclonal antibody for immunohistochemistry from Bio SB. Transcription factor SOX-10 is a member of the SOX (SRY-related HMG-box) family of transcription factors involved in the regulation of embryonic development and in the determination of the cell fate. The encoded protein may act as a transcriptional activator after forming a protein complex with other proteins. This protein acts as a nucleocytoplasmic shuttle protein and is important for neural crest and peripheral nervous system development. Mutations in this gene are associated with Waardenburg-Shah and Waardenburg-Hirschsprung disease. The SOX-10 antibody has been recently shown to be a sensitive marker of melanoma, including conventional, spindled, and desmoplastic subtypes.
The SOX-10 antibody is expressed by metastatic melanomas and nodal capsular nevus in sentinel lymph nodes, but not by other lymph node components such as dendritic cells which usually express S100 protein. In scar specimens, immature fibroblasts, epithelioid granulomas, and histiocytic proliferations can histopathologically mimic residual melanoma and even be positive for MiTF and S100. However, the SOX-10 antibody is less likely to be expressed by fibroblasts or histiocytes, especially compared to MiTF and S100. The SOX-10 antibody produces a nuclear stain that provides a clean signal that is much sharper and darker in staining quality when compared to the use of antibodies against MiTF and S100.
Presentation
SOX-10 antibody is a mouse monoclonal antibody derived from cell culture supernatant that is concentrated, dialyzed, filter sterilized and diluted in buffer pH 7.5, containing BSA and sodium azide as a preservative.
Synonyms: sox10, sox-10, sox 10, anti sox10, anti-sox10, anti sox-10, anti-10, anti sox 10, anti-sox 10, anti SRY-related HMG-box transcription factor 10, anti-SRY-related HMG-box transcription factor 10, SRY-related HMG-box transcription factor 10, DOM, dominant megacolon, dominant megacolon mouse human homolog of, MGC15649, PCWH, Protein SOX 21, Sox21, SRY sex determining region Y box 10, SRY box containing gene 10, SRY related HMG box gene 10, Transcription factor SOX 10, Transcription factor SOX M