Intended Use
For In Vitro Diagnostic Use
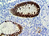
Summary and Explanation
Transcription factor SOX-9 is a protein that in humans is encoded by the SOX-9 gene. SOX-9 acts during chondrocyte differentiation and regulates transcription of the anti-Müllerian hormone (AMH) gene. It is expressed during embryogenesis, in the cartilage, neural crest, kidney, and pancreas. SOX-9 plays a pivotal role in male sexual development, interacts with a few other genes to promote the development of male sexual organs and its activity is also required for development, differentiation, and lineage commitment in various tissues including the intestinal epithelium.
SOX-9 exhibits several pro-oncogenic properties, including the ability to promote proliferation, inhibit senescence, and collaborate with other oncogenes in neoplastic transformation. Human colorectal cancers show a positive correlation between expression levels of SOX-9 and BMI1 and a negative correlation between SOX-9 and ARF in clinical samples. In normal colorectal mucosa, SOX-9 antibody expression is found predominantly to the lower part of crypts, the proliferative compartment and putative site of stem cells, suggesting SOX-9 as a putative stem or progenitor cell biomarker. Recent studies have shown the overexpression of SOX-9 in solid tumors. Compared to normal tissues, immunohistochemical analysis revealed staining that is more intense and widespread staining in many cancer types, including but not limited to, Gastric carcinoma, Non-Small Cell Lung Cancer (NSCLC), Lung Adenocarcinoma, Prostate Cancer, Breast Carcinoma, Pancreatic Ductal Adenocarcinoma, Glioma, Colorectal Cancer, Hepatocellular Carcinoma (HCC) and Ovarian Cancer. Amplification of 17q24.3, the chromosomal region of SOX-9 has been found in Prostate, Neuroblastoma, Medulloblastoma, Breast and Ovarian Cancer, which all exhibit high SOX-9 expression. Although staining is predominantly nuclear, cytoplasmic SOX-9 antibody may serve as a valuable prognostic marker for Invasive Ductal Carcinomas and Metastatic Breast Cancer. Additionally, SOX-9 upregulation has been associated with higher tumor stage and grade, and overexpression has been recognized as an independent prognostic marker for decreased survival in Colorectal Cancer, NSCLC and HCC patients. In Pancreatic Cancer, SOX-9 has been found to regulate the EGFR pathway throughout pancreatic tumorigenesis.
Presentation
SOX-9 antibody is a rabbit monoclonal antibody derived from cell culture supernatant that is concentrated, dialyzed, filter sterilized and diluted in buffer pH 7.5, containing BSA and sodium azide as a preservative.
Synonyms: Sox9, Sox 9, anti Sox 9, anti Sox-9, anti Sox9, anti SRY-related HMG-box transcription factor 9, anti-Sox 9, anti-Sox-9, anti-Sox9, anti-SRY-related HMG-box transcription factor 9, SRY-related HMG-box transcription factor 9, CMD1, CMPD1, SRA1, SRY sex determining region Y box 9, SRY sex determining region Y box 9 protein, SRY related HMG box gene 9, Transcription factor SOX 9