Intended Use
For In Vitro Diagnostic Use
Summary and Explanation
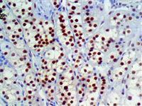
Transcription factor E3 is a protein that in humans is encoded by the TFE3 gene. TFE3, a member of the helix-loop-helix family of transcription factors, binds to the mu-E3 motif of the immunoglobulin heavy-chain enhancer and is expressed in many cell types. A proportion of renal cell carcinomas (RCC) that occur in young patients are associated with translocations involving the TFE3 gene, which results in gene fusions. Subsets of papillary renal cell carcinomas, a t(X;1)(p11;q21) chromosome translocation has been repeatedly reported and is thought to be the cause of this cancer. As a result of the translocation, the transcription factor TFE3 on the X chromosome becomes fused to this gene on chromosome 1. The fused gene results in the fusion of N-terminal proline-rich region of the protein encoded by this gene to the entire TFE3 protein.
The Xp11.2 translocation represents the most common type of RCC in children, but is less frequent on a percentage basis in adults. Morphologically, these cancers frequently show papillary architecture and clear cytoplasm, frequently have associated psammoma bodies and under-express epithelial markers such anti-cytokeratin and anti-EMA compared with typical adult type RCC. TFE3 antibody is the most sensitive and specific immunohistochemical marker for the RCC Xp11.2 translocation, which reflects over-expression of the resulting fusion proteins relative to native TFE3. The Xp11.2 renal cell carcinoma has been recently established as a tumor affecting 15% of RCC patients.
Presentation
TFE3 antibody is a rabbit monoclonal antibody derived from cell culture supernatant that is concentrated, dialyzed, filter sterilized and diluted in buffer pH 7.5, containing BSA and sodium azide as a preservative.
Synonyms: transcription factor binding to IGHM enhancer 3, RCCP2, RCCX1, TFEA, bHLHe33, TFE3 knockout, TFE3 hdr, TFE3 double nickase plasmid, TFE3 lentiviral activation particles, anti-tfe3, anti tfe3, tfe-3, tfe, anti-tfe, anti tfe