Intended Use
For In Vitro Diagnostic Use
Summary and Explanation
Thyroid Peroxidase (TPO) is an enzyme expressed mainly in the thyroid where it is secreted into colloid. Thyroid peroxidase oxidizes iodide ions to form iodine atoms for addition onto tyrosine residues on thyroglobulin for the production of thyroxine (T4) or triiodothyronine (T3), the thyroid hormones. In humans, thyroperoxidase is encoded by the TPO gene. The TPO gene consists of 17 exons, and is located on the short arm of chromosome 2.
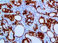
Thyroid Peroxidase gene expression is under the regulation of thyroid stimulating hormone. In normal thyroid, expression of TPO described immunohistochemically is reported to produce a diffuse, fine, granular cytoplasmic stain in all follicular cells. Thyroid Peroxidase antibody labels normal thyroid epithelial cells and thyroid tumor cells.The expression level in thyroid carcinomas is lower than that of normal and benign thyroid tumors. Decreased TPO immunoreactivity is an early event in follicular tumourigenesis, taking place before development of invasiveness in parallel with an acceleration of cell growth and appearance of cell atypia.
Presentation
Thyroid Peroxidase antibody is a rabbit monoclonal antibody derived from cell culture supernatant that is concentrated, dialyzed, filter sterilized and diluted in buffer pH 7.5, containing BSA and sodium azide as a preservative.
Synonyms: TPO, MSA, thyroid microsomal antigen, Thyroid peroxidase, thyroperoxidase, TPX, TDH2A, anti-th, anti-thyroid peroxidase, anti th, anti thyroid peroxidase