Intended Use
For In Vitro Diagnostic Use
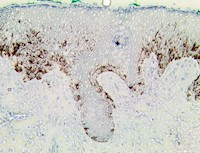
Summary and Explanation
TintoFast HMB-45 reacts against an antigen present in immature melanosomes, cutaneous, melanocytes, prenatal and infantile retinal pigment epithelium and melanoma cells. This antibody is very useful to identify Malignant Melanoma. MART-1/ Melan-A is a protein antigen found on melanocytes. Antibodies against this antigen are used to recognize cells of melanocytic differentiation, useful for the diagnosis of Melanoma. The same name is used to refer to the gene which codes for this antigen. Tyrosinase is a copper-containing enzyme present in plant and animal tissues that catalyzes the production of melanin and other pigments from tyrosine by oxidation.
The MART-1/Melan-A antigen is specific for the melanocyte lineage found in normal skin, retina, and melanocytes, but not in other normal tissues. It is thus useful as a marker for Melanocytic Tumors, with the caveat that it is normally found in benign nevi as well. Anti-Tyrosinase has been found to be quite specific for melanocytic lesions such as Malignant Melanoma and Melanotic Neurofibroma. Essentially no carcinomas express this marker. TintoFast Melanoma cocktail HMB-45, Mart-1 and Tyrosinase are ideally suited to detect melanomas and melanocytic lesions and may prove to be a valuable marker for melanoma metastasis in sentinel lymph nodes.
Presentation
TintoFast Melanoma Cocktail: HMB-45 Mart-1 & Tyrosinase is a mouse monoclonal antibody derived from cell culture supernatant that is concentrated, dialyzed, filter sterilized and diluted in buffer pH 7.5, containing BSA and sodium azide as a preservative.
Mohs IHC Procedure
Specimen Preparation of Mohs Frozen Tissues
- Embed the specimen in OCT inside a cryostat.
- Cut sections at 4-5 µm and mount on a positively charged glass slide such as the Bio SB Hydrophilic Plus Slides (BSB 7028) or in the lower third of the TintoDetector Cap Gap slides (BSB 7006).
- Air dry the slide at room temperature for 2 minutes and then incubate the slide at 60 °C for 3 minutes in an incubator or dry bath.
- Fix in 100% acetone for 2 minutes at room temperature.
Pretreatment of Mohs Frozen Tissues
- Preheat the TintoDetector Incubator to 110°C.
- Place TintoDetector Cap Gap slides (BSB 7006) face to face and insert them into the TintoDetector Slide Holder (BSB 7003).
- Submerge slides in ImmunoDNA Retriever with EDTA to draw up enough solution by capillary action to cover the tissues.
- Heat the slides in a preheated TintoDetector Incubator for 3 minutes.
- Transfer slides to room temperature and cool off for 1 min.
Mohs IHC Detection
- After HIER, transfer slides to ImmunoDNA washer and let it stand for 1-2 minutes.
- For manual staining, perform antibody incubation at ambient temperature. For automated staining methods, perform antibody incubation according to instrument manufacturer’s instructions.
- Wash slides with ImmunoDNA washer or DI water.
- Continue IHC detection protocol. Wash slides between each step with ImmunoDNA washer solution.
Abbreviated Mohs PolyDetector Plus DAB HRP Brown or HRP Green Immunohistochemical Protocol
- Incubate with Primary Antibody for 5 min
- Wash with Buffer (TBST or PBST)
- Incubate with M/R link for 4 min
- Wash with Buffer (TBST or PBST)
- HRP Label for 4 min.
- Wash with Buffer (TBST or PBST)
- Prepare
- DAB Brown (1 drop of DAB Chromogen in 1ml of DAB Buffer; mix well)
- or HRP Green (1 drop of HRP Green Chromogen in 1 ml of HRP Green Buffer; mix well)
- Incubate with DAB or HRP Green for 1-2 min
- Wash with Buffer (TBST or PBST)
- Counterstain with Hematoxylin or Nuclear Fast Red for 30 seconds
- Wash with Buffer (TBST or PBST)
- Mount with AquaMounter or dehydrate the tissue with Fast ChromoProtector then mount with PermaMounter

Step
|
Mohs PolyDetector Plus HRP Green or DAB 20 Minute Protocol |
| HIER |
3 min. |
| Primary Antibody |
5 min. |
| 1st Step Detection |
4 min. |
| 2nd Step Detection |
4 min. |
| Substrate-Chromogen |
1-2 min. |
| Counterstain / Coverslip |
Varies |
This protocol can also be used with FFPE tissues retrieved with Citrate or EDTA.