TintoFast Podoplanin (D2-40), MMab
TintoFast Podoplanin (D2-40), MMab
Price:
$371.00
SKU:
BSB-3699-3
Antibody type:
Mouse Monoclonal
Clone:
D2-40
Isotype:
IgG1
Localization:
Cytoplasmic
Sharing Discount has been applied
Description
Intended Use
For In Vitro Diagnostic Use
Summary and Explanation
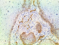
Podoplanin is a transmembrane mucoprotein (38 kDa) recognized by the D2-40 monoclonal antibody. Podoplanin is specifically expressed in the endothelium of lymphatic capillaries but not in the blood vasculature. In normal skin and kidney, podoplanin is co-localized with VEGFR3/FLT4, another marker for lymphatic endothelial cells.
TintoFast Podoplanin is selectively expressed in lymphatic endothelium as well as Lymphangiomas, Kaposi’s Sarcomas and in subset Angiosarcomas with probable lymphatic differentiation. Podoplanin has also been shown to be expressed in Epithelioid Mesotheliomas, Hemangioblastomas and Seminomas.
Presentation
TintoFast Podoplanin is a mouse monoclonal antibody derived from cell culture supernatant that is concentrated, dialyzed, filter sterilized and diluted in buffer pH 7.5, containing BSA and sodium azide as a preservative.
Mohs IHC Procedure
Specimen Preparation of Mohs Frozen Tissues
- Embed the specimen in OCT inside a cryostat.
- Cut sections at 4-5 µm and mount on a positively charged glass slide such as the Bio SB Hydrophilic Plus Slides (BSB 7028) or in the lower third of the TintoDetector Cap Gap slides (BSB 7006).
- Air dry the slide at room temperature for 2 minutes and then incubate the slide at 60 °C for 3 minutes in an incubator or dry bath.
- Fix in 100% acetone for 2 minutes at room temperature.
Pretreatment of Mohs Frozen Tissues
- Preheat the TintoDetector Incubator to 110°C.
- Place TintoDetector Cap Gap slides (BSB 7006) face to face and insert them into the TintoDetector Slide Holder (BSB 7003).
- Submerge slides in ImmunoDNA Retriever with EDTA to draw up enough solution by capillary action to cover the tissues.
- Heat the slides in a preheated TintoDetector Incubator for 3 minutes.
- Transfer slides to room temperature and cool off for 1 min.
Mohs IHC Detection
- After HIER, transfer slides to ImmunoDNA washer and let it stand for 1-2 minutes.
- For manual staining, perform antibody incubation at ambient temperature. For automated staining methods, perform antibody incubation according to instrument manufacturer’s instructions.
- Wash slides with ImmunoDNA washer or DI water.
- Continue IHC detection protocol. Wash slides between each step with ImmunoDNA washer solution.
Abbreviated Mohs PolyDetector Plus DAB HRP Brown or HRP Green Immunohistochemical Protocol
- Incubate with Primary Antibody for 5 min
- Wash with Buffer (TBST or PBST)
- Incubate with M/R link for 4 min
- Wash with Buffer (TBST or PBST)
- HRP Label for 4 min.
- Wash with Buffer (TBST or PBST)
- Prepare
- DAB Brown (1 drop of DAB Chromogen in 1ml of DAB Buffer; mix well)
- or HRP Green (1 drop of HRP Green Chromogen in 1 ml of HRP Green Buffer; mix well)
- Incubate with DAB or HRP Green for 1-2 min
- Wash with Buffer (TBST or PBST)
- Counterstain with Hematoxylin or Nuclear Fast Red for 30 seconds
- Wash with Buffer (TBST or PBST)
- Mount with AquaMounter or dehydrate the tissue with Fast ChromoProtector then mount with PermaMounter

Step
|
Mohs PolyDetector Plus HRP Green or DAB 20 Minute Protocol |
| HIER |
3 min. |
| Primary Antibody |
5 min. |
| 1st Step Detection |
4 min. |
| 2nd Step Detection |
4 min. |
| Substrate-Chromogen |
1-2 min. |
| Counterstain / Coverslip |
Varies |
This protocol can also be used with FFPE tissues retrieved with Citrate or EDTA.
Documentation
Specification Sheets
Safety Data Sheets
Ask a Question
There are currently no questions about this
product.
Product Details
| Option | SKU | Price |
| Presentation: 3ml Predilute | BSB-3699-3 | $371.00 |
| Presentation: 7 ml Predilute | BSB-3699-7 | $680.00 |
| Presentation: 15 ml Predilute | BSB-3699-15 | $1,175.00 |