Intended Use
For In Vitro Diagnostic Use
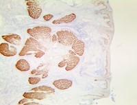
Summary and Explanation
Melanoma antigen preferentially expressed in tumors is a protein that in humans is encoded by the PRAME gene. This gene encodes an antigen that is predominantly expressed in human Melanomas and is recognized by cytolytic T lymphocytes. PRAME is not expressed in normal tissues, except in testis. This expression pattern is like that of other CT antigens, such as MAGE, BAGE and GAGE. However, unlike these other CT antigens, this antigen is also expressed in Acute Leukemias.
TintoFast PRAME antibody overexpression in triple negative breast cancer has also been found to promote cancer cell motility through induction of the epithelial-to-mesenchymal transition. PRAME mRNA expression is well documented in Cutaneous and Ocular Melanomas. One study concluded that diffuse nuclear immunoreactivity for PRAME was found in 87% of metastatic and 83.2% of primary Melanomas. Among Melanoma subtypes, PRAME was diffusely expressed in 94.4% of acral Melanomas, 92.5% of superficial spreading Melanomas, 90% of Nodular Melanomas, 88.6% of Lentigo Maligna Melanomas, and 35% of Desmoplastic Melanomas. When in situ and NonDesmoplastic Invasive Melanoma components were present, PRAME expression was seen in both. Most Melanocytic nevi (86.4%), were completely negative for PRAME.
Immunoreactivity for TintoFast PRAME was seen, albeit usually only in a minor subpopulation of lesional Melanocytes, in 13.6% of Cutaneous Nevi, including Dysplastic Nevi, Common Acquired Nevi, Traumatized/recurrent Nevi, and Spitz Nevi. Rare isolated junctional Melanocytes with immunoreactivity for PRAME were also seen in Solar Lentigines and benign nonlesional skin. This study suggests that immunohistochemical analysis for PRAME expression may be useful for diagnostic purposes to support a suspected diagnosis of Melanoma. It may also be valuable for margin assessment of a known PRAME-positive Melanoma, but its expression in Nevi, Solar Lentigines, and Benign nonlesional Skin can represent a challenge.
Presentation
TintoFast PRAME is a rabbit monoclonal antibody derived from cell culture supernatant that is concentrated, dialyzed, filter sterilized and diluted in buffer pH 7.5, containing BSA and sodium azide as a preservative.
Mohs IHC Procedure
Specimen Preparation of Mohs Frozen Tissues
- Embed the specimen in OCT inside a cryostat.
- Cut sections at 4-5 µm and mount on a positively charged glass slide such as the Bio SB Hydrophilic Plus Slides (BSB 7028) or in the lower third of the TintoDetector Cap Gap slides (BSB 7006).
- Air dry the slide at room temperature for 2 minutes and then incubate the slide at 60 °C for 3 minutes in an incubator or dry bath.
- Fix in 100% acetone for 2 minutes at room temperature.
Pretreatment of Mohs Frozen Tissues
- Preheat the TintoDetector Incubator to 110°C.
- Place TintoDetector Cap Gap slides (BSB 7006) face to face and insert them into the TintoDetector Slide Holder (BSB 7003).
- Submerge slides in ImmunoDNA Retriever with EDTA to draw up enough solution by capillary action to cover the tissues.
- Heat the slides in a preheated TintoDetector Incubator for 3 minutes.
- Transfer slides to room temperature and cool off for 1 min.
Mohs IHC Detection
- After HIER, transfer slides to ImmunoDNA washer and let it stand for 1-2 minutes.
- For manual staining, perform antibody incubation at ambient temperature. For automated staining methods, perform antibody incubation according to instrument manufacturer’s instructions.
- Wash slides with ImmunoDNA washer or DI water.
- Continue IHC detection protocol. Wash slides between each step with ImmunoDNA washer solution.
Abbreviated Mohs PolyDetector Plus DAB HRP Brown or HRP Green Immunohistochemical Protocol
- Incubate with Primary Antibody for 5 min
- Wash with Buffer (TBST or PBST)
- Incubate with M/R link for 4 min
- Wash with Buffer (TBST or PBST)
- HRP Label for 4 min.
- Wash with Buffer (TBST or PBST)
- Prepare
- DAB Brown (1 drop of DAB Chromogen in 1ml of DAB Buffer; mix well)
- or HRP Green (1 drop of HRP Green Chromogen in 1 ml of HRP Green Buffer; mix well)
- Incubate with DAB or HRP Green for 1-2 min
- Wash with Buffer (TBST or PBST)
- Counterstain with Hematoxylin or Nuclear Fast Red for 30 seconds
- Wash with Buffer (TBST or PBST)
- Mount with AquaMounter or dehydrate the tissue with Fast ChromoProtector then mount with PermaMounter

Step
|
Mohs PolyDetector Plus HRP Green or DAB 20 Minute Protocol |
| HIER |
3 min. |
| Primary Antibody |
5 min. |
| 1st Step Detection |
4 min. |
| 2nd Step Detection |
4 min. |
| Substrate-Chromogen |
1-2 min. |
| Counterstain / Coverslip |
Varies |
This protocol can also be used with FFPE tissues retrieved with Citrate or EDTA.