Intended Use
For In Vitro Diagnostic Use
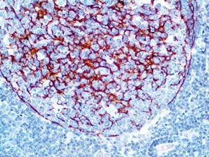
Summary and Explanation
The Clusterin protein, also known as Apolipoprotein J, is a 75-80 kDa disulfide-linked heterodimeric protein containing about 30% of N-linked carbohydrate rich in sialic acid. It is a stress-induced cytoprotective chaperone protein regulated by HSF1 and functions similarly to a small heat-shock protein. Clusterin is distributed widely in human tissues and fluids, including normal epithelial cells, plasma, cerebrospinal fluid, breast milk, semen and urine. Clusterin has been implicated in a variety of activities including programmed cell death, regulation of complement mediated cell lysis, membrane recycling, cell-cell adhesion, and src induced transformation. As part of the attack complex of complement, it acts as a complement inhibitor.
Clusterin is expressed in a wide variety of hematopoietic and non-hematopoietic tumors. Overexpression of Clusterin is associated with poor prognosis in breast cancer and chemosensitivity in cervical cancer.
Presentation
Clusterin / Apolipoprotein J antibody is a rabbit monoclonal antibody derived from cell culture supernatant that is concentrated, dialyzed, filter sterilized and diluted in buffer pH 7.5, containing BSA and sodium azide as a preservative.
Synonyms: APOJ, Apolipoprotein J, anti-Apolipoprotein, anti Apolipoprotein, CLU, KUB1, anti-Clusterin, anti Clusterin, anti-CLU, anti CLU, anti-KUB1, anti KUB1, anti-APOJ, anti APOJ, anti-Apolipoprotein J, anti Apolipoprotein J, AAG4, Aging associated gene 4 protein, aging associated protein 4, APO J, ApoJalpha, ApoJbeta, CLI, clusterin, Clusterin alpha chain, Clusterin beta chain, Complement cytolysis inhibitor, Complement cytolysis inhibitor a chain, Complement cytolysis inhibitor b chain, complement lysis inhibitor, complement associated protein SP 40 40, Ku70 binding protein 1, MGC24903, NA1 NA2, SGP 2, SGP2, SP 40, sulfated glycoprotein 2, testosterone repressed prostate message 2, TRPM 2, TRPM2
Specification Sheets
Safety Data Sheets
There are currently no questions about this
product.
Ask a Question
| Option | SKU | Price |
| Presentation: 3 ml Predilute | BSB-3821-3 | $244.00 |
| Presentation: 7 ml Predilute | BSB-3821-7 | $437.00 |
| Presentation: 15 ml Predilute | BSB-3821-15 | $795.00 |
| Presentation: .1 ml Concentrate | BSB-3821-01 | $271.00 |
| Presentation: .5 ml Concentrate | BSB-3821-05 | $595.00 |
| Presentation: 1 ml Concentrate | BSB-3821-1 | $910.00 |
| Presentation: Control Slides [5] | BSB-9122-CS | $101.00 |
|
|