|
|
|
|
SARS-CoV-2 (BSB-134), MMab
| SKU: |
BSB-3701-3 |
|
Antibody type:
|
Mouse Monoclonal
|
|
Clone:
|
BSB-134
|
|
Isotype:
|
IgG2b
|
|
Concentrate Dilution:
|
1:25-1:100
|
|
Localization:
|
Cytoplasmic
|
|
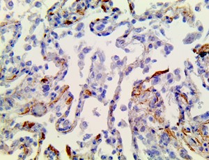
Tissue Control:
|
SARS-CoV-2 Infected Tissue
|
|
Species Reactivity:
|
Human
|
|
Intended Use
Analyte Specific Reagent
Summary and Explanation
The Severe Acute Respiratory Syndrome 2 virus (SARS-CoV-2) is a betacoronavirus first isolated in Wuhan, China, in late 2019. The virus has a 29.8 kbp genome, encoding the membrane, envelope, nucleocapsid, and spike glycoprotein. The spike proteins are cleaved by TMPRSS2 serine protease, then the Receptor Binding Domain of the spike protein binds with ACE2 or CD147 to enter the cell. The SARS-CoV-2 virus has been shown to infect the tracheal and lung epithelium, GI tract, and olfactory neuron, brain, bone marrow and possibly other organs. Cough, fever, and trouble breathing are the main symptoms, although GI distress, fatigue, and neurological distress are also common. Severe symptoms are more likely to appear in patients with advanced age and/or preexisting cardiovascular disease or diabetes. The virus has a 2-11 day incubation period and mortality rate around 2.5%. Severe symptoms include diffuse alveolar damage in the lungs, hyaline membrane formation, microthrombi in the lungs, heart, and brain, and extreme inflammation as “cytokine storms” that flood the body with cytokines (elevated 1L1, IL-6, IL-8, and TNFa among others) and immune cells (especially CD4+ and CD8+ T cells and CD68+ and CD163+ Macrophages). This antibody cross-reacts with SARS-CoV nucleocapsid protein, but not with MERS, 229E, or OC43 coronaviruses.
Presentation
SARS-CoV-2 antibody is a mouse monoclonal antibody derived from cell culture supernatant that is concentrated, dialyzed, filter sterilized and diluted in buffer pH 7.5, containing BSA and sodium azide as a preservative.
Synonyms: cytokine storm, cytokine storm syndrome, cytokine storm antibody, cytokine storm antibodies, sars-cov-2 receptors, sars cov-2 receptors, covid-19 receptors, cov2 ihc, cov2 antibody ihc, sars cov2, sars-cov-2 antibodies, sars-cov-2 ihc, sars-cov-2 immunohistochemistry, covi-19 ihc, covid-19 immunohistochemistry, covid19 ihc, anti-sars,-cov-2, anti sars-cov-2
Specification Sheets
Safety Data Sheets
There are currently no questions about this
product.
Ask a Question
| Option | SKU | Price |
| Presentation: 3 ml Predilute | BSB-3701-3 | $224.00 |
| Presentation: 7 ml Predilute | BSB-3701-7 | $373.00 |
| Presentation: 15 ml Predilute | BSB-3701-15 | $749.00 |
| Presentation: .1 ml Concentrate | BSB-3701-01 | $163.00 |
| Presentation: .5 ml Concentrate | BSB-3701-05 | $601.00 |
| Presentation: 1 ml Concentrate | BSB-3701-1 | $1,200.00 |
| Presentation: Control Slides [5] | BSB-9374-CS | $164.00 |
|
|
|