|  | 
        
	
             
 
        
 
                
                        
	
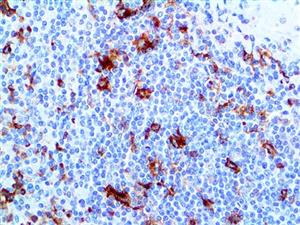
		|  | CD13 (EP117), RMab
                
			| SKU: | BSB 6450 |  
                            | Antibody type: | Rabbit Monoclonal |  
                            | Clone: | EP117 |  
                            | Isotype: | IgG |  
                            | Concentrate Dilution: | 1:50-1:200 |  
                            | Localization: | Cytoplasmic, Membranous |  
                            | Tissue Control: | Spleen, Tonsil, Prostate, Liver |  
                            | Species Reactivity: | Human, Predicted: Rat |  |  
    
        
        | 
	
		
			
                        Intended UseFor In Vitro Diagnostic Use 
 Summary and ExplanationCD13 (also known as aminopeptidase-N) is expressed on the majority of peripheral blood monocytes and granulocytes. It is also expressed by the majority of acute myeloid leukemias, chronic myeloid leukemias in myeloid blast crisis, a smaller percentage of lymphoid leukemias and myeloid cell lines. CD13 is absent in normal lymphocytes, platelets and erythrocytes. CD13 is also present on fibroblasts, endothelial cells, epithelial cells from renal proximal tubules and intestinal brush border, bone marrow stromal cells, osteoclasts, and cells forming bile canaliculi. CD13 antibody recognizes the human CD13 antigen expressed on the majority of peripheral blood monocytes and granulocytes and on endothelial cells. CD13 plays a role in biologically active peptide metabolism, in the control of growth and differentiation, in phagocytosis and in bactericidal/tumoricidal activities. CD13 also serves as a receptor for human coronaviruses (HCV). 
 PresentationCD13 antibody is a rabbit monoclonal antibody derived from cell culture supernatant that is concentrated, dialyzed, filter sterilized and diluted in buffer pH 7.5, containing BSA and sodium azide as a preservative. 
 
 
 Synonyms: ANPEP, APN, Microsomal aminopeptidase, anti-CD13, anti CD13, Aminopetidase N, anti-APN, anti APN, anti-ANPEP, anti ANPEP, anti-Aminopetidase N, anti Aminopetidase N, anti-Microsomal aminopeptidase, anti Microsomal aminopeptidase, alanyl membrane aminopeptidase, alanyl aminopeptidase, Aminopeptidase M, Aminopeptidase N, CD13, gp150, hAPN, LAP1, Myeloid plasma membrane glycoprotein CD13, P150, PEPN, AP M, AP N 
 
			
                        
				Specification Sheets
 Safety Data Sheets 
			
                        
				
        There are currently no questions about this
        product.
        
            Ask a Question 
					
        
    
				 
			
                        
				
					| 
						
        
							
            
        
						 
							
								
									| Option | SKU | Price |  
									| Presentation: 3 ml Predilute | BSB 6450 | $264.00 |  
									| Presentation: 7 ml Predilute | BSB 6451 | $477.00 |  
									| Presentation: 15 ml Predilute | BSB 6452 | $857.00 |  
									| Presentation: .1 ml Concentrate | BSB 6453 | $293.00 |  
									| Presentation: .5 ml Concentrate | BSB 6454 | $645.00 |  
									| Presentation: 1 ml Concentrate | BSB 6455 | $984.00 |  
									| Presentation: Control Slides [5] | BSB-9065-CS | $101.00 |  |  |  |