Storefront
ALPHABETICAL ORDER: A B C D E F G H I J K L M N O P Q R S T U V W X Y Z
‹ Continue Shopping

Secure Checkout

  • 1Log In or Register
  • 2Shipping & Billing Info
  • 3Review, Pay & Submit
Navigate:  StoreFront / Immunohistochemistry / Antibodies / All Antibodies / Maspin (BSB-92), MMab
<   Previous Product
Next Product   >
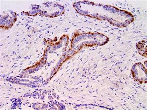
Maspin (BSB-92), MMab MAIN

Maspin (BSB-92), MMab

Price: $177.00
SKU: BSB 3265
Antibody type: Mouse Monoclonal
Clone: BSB-92
Isotype: IgG2a
Concentrate Dilution: 1:25-1:100
Localization: Nuclear, Cytoplasmic
Tissue Control: Prostate, Breast,Tonsil
Species Reactivity: Human
(805) 692-2768
Returning Customer?
Privacy Policy Shipping Policy Return Policy
Shopping Cart
 

The Shopping Cart is currently empty